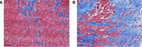
Histopathological insights into mitral valve prolapse-induced fibrosis

Maja-Theresa Dieterlen, Kristin Klaeske, Ricardo Spampinato, Mateo Marin-Cuartas, Karoline Wiesner, Jordan Morningstar, Russell A Norris , Serguei Melnitchouk, Robert A Levine, Antonia van Kampen, Michael A Borger

Image
DOI: 10.3389/fcvm.2023.1057986
Citation

Dieterlen MT, Klaeske K, Spampinato R, Marin-Cuartas M, Wiesner K, Morningstar J, Norris RA, Melnitchouk S, Levine RA, van Kampen A, Borger MA. Histopathological insights into mitral valve prolapse-induced fibrosis. Front Cardiovasc Med. 2023 Mar 7;10:1057986. doi: 10.3389/fcvm.2023.1057986. PMID: 36960475; PMCID: PMC10028262.